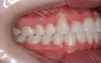
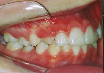
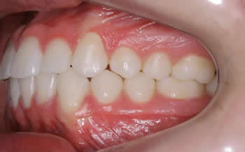
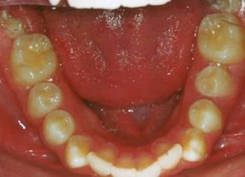
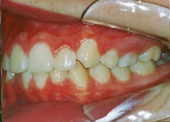
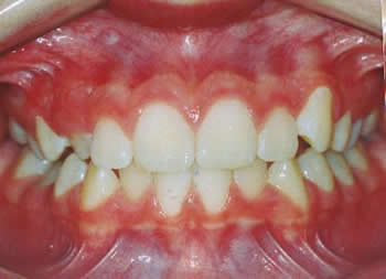
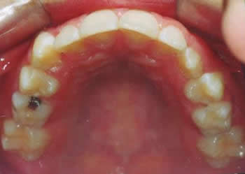
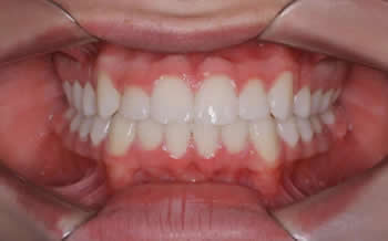
Caso 9

Inicial      
 
   
Final