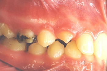
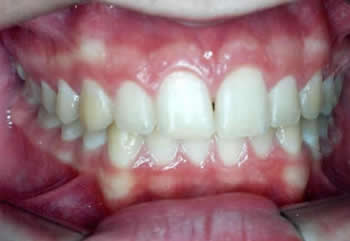
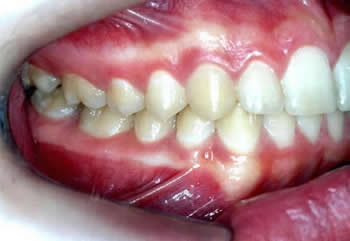
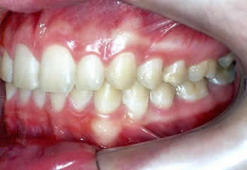
Caso 8

Inicial      
 
Final