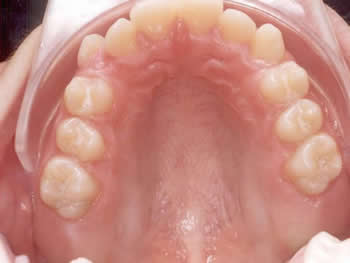
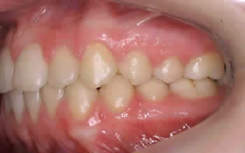
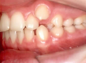
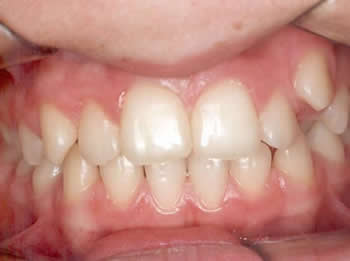
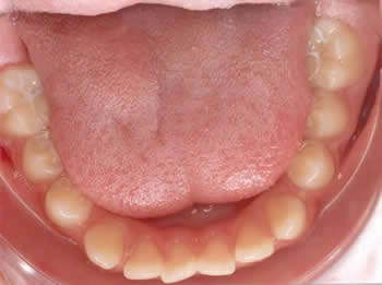
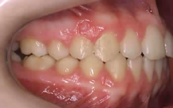
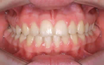
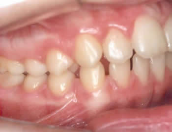
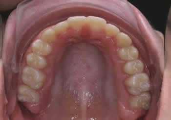
Caso 7

Inicial      
 
   
Final