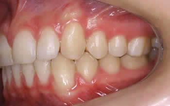
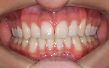
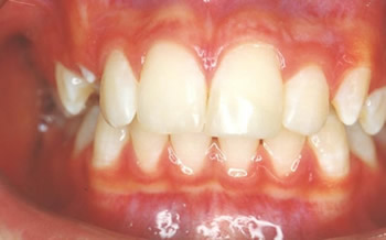
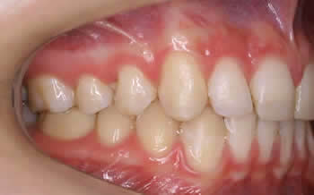
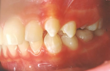
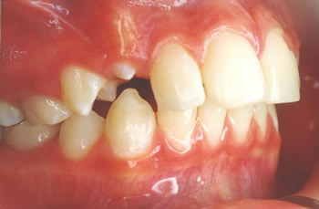
Caso 6

Inicial      
 
Final