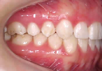
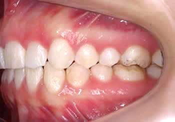
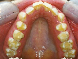
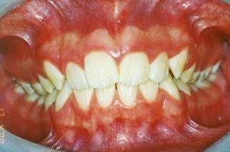
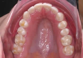
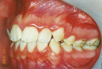
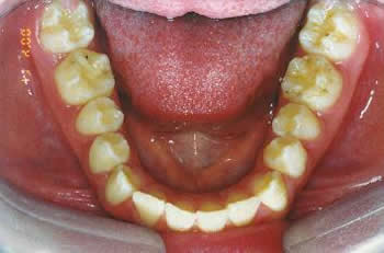
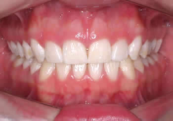
Caso 5

Inicial      
 
   
Final