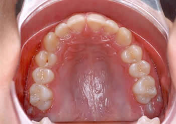
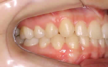
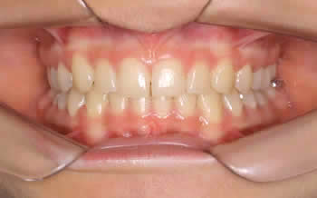
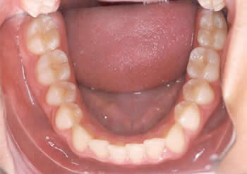
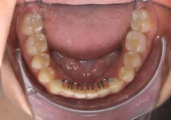
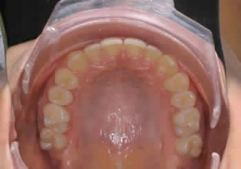
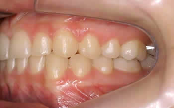
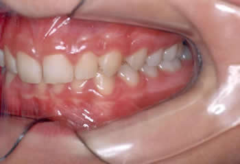
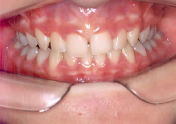
Caso 4

Inicial      
 
   
Final