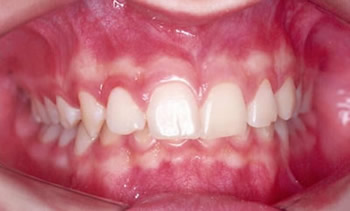
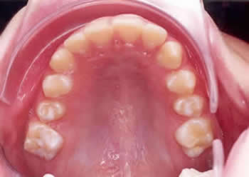
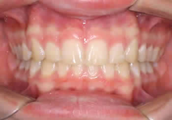
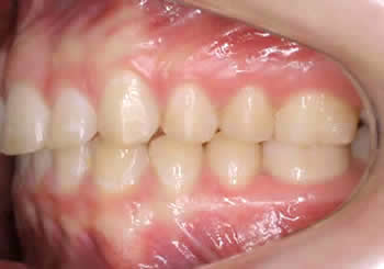
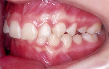
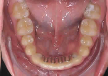
Caso 3

Inicial
 
   
Final