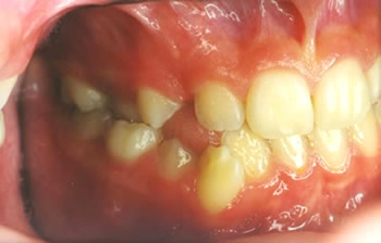
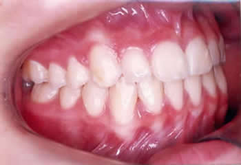
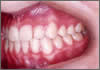
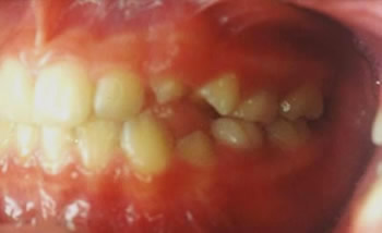
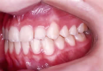
Caso 2

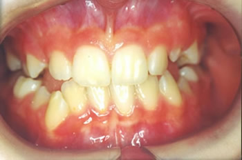
Inicial
 
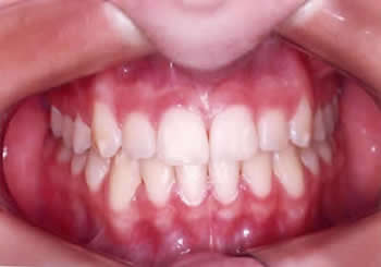
Final