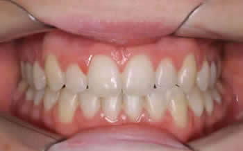
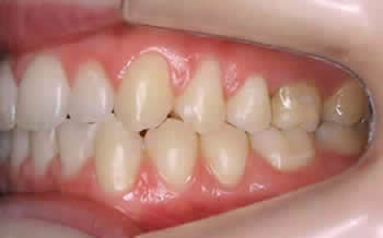
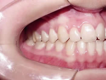
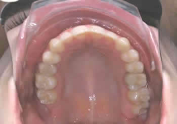
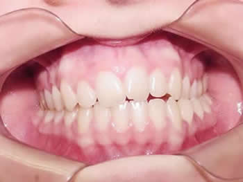
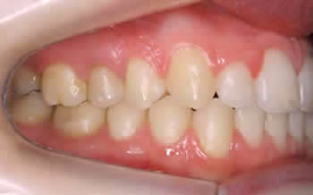
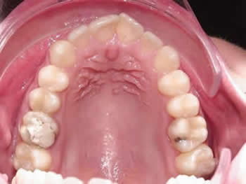
Caso 1

Inicial
 
   
Final